


Next-Gen AI for
Precision Dentistry

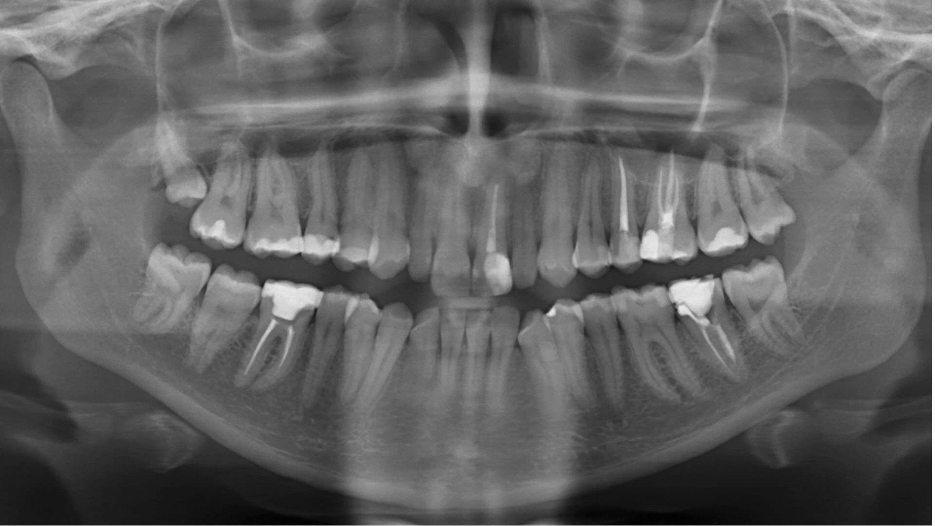
AI-Powered Dental Diagnostics
Advanced intelligence for accurate panoramic X-ray analysis and confident clinical decision-making
Innovation in Intelligent Dentistry
A unique blend of AI, clinical expertise, and human-centered design shaping the future of dental care
Intelligence meets ergonomics
Where cutting-edge AI blends with human-centered design to create voice-controlled smart dental units - enhancing precision, workflow efficiency, and patient comfort during clinical interactions.
Curated Clinical Data
Our AI models are trained on a rigorously curated dataset of high resolution, clinically annotated dental radiographs enabling reliable diagnostic performance for pathology detection.
Synergy in innovation
Built through seamless collaboration between dentists, engineers and AI experts - our solutions integrates clinical expertise with technological precision to elevate dental care globally.
Precision-Driven Dental Intelligence
AI systems designed to detect dental pathology and anatomical features with clinical accuracy and reliability
Our computer vision systems identify and evaluate the widest range of pathologic and restorative features detectable in radiographic and 3D dental imagery.Our computer vision systems identify and evaluate the widest range of pathologic and restorative features detectable in radiographic and 3D dental imagery.Our computer vision systems identify and evaluate the widest range of pathologic and restorative features detectable in radiographic and 3Ddental imagery.Our computer vision systems identify and evaluate the widest range of pathologic and restora

Trusted by Dental Professionals
What clinicians and care teams say about working with our technology
Stoma AI has transformed how we diagnose and plan treatments in our practice. It enables faster, more confident decisions while significantly improving patient trust and clinical communication.

Dr. Ananya Mehta
Prosthodontist
Clinical workflows are noticeably smoother, and we are far better prepared before the patient arrives. This has reduced chair-side uncertainty and improved overall efficiency.

Dr. Rohan Verma
General Dentist
Understanding patient needs in advance has made scheduling and coordination effortless. Our team communicates better, and daily operations now run with far fewer disruptions.

Neha Kapoor
Dental Clinic Manager
The diagnostic clarity provided is excellent and saves valuable chair-side time. It allows me to focus more on surgical precision and patient outcomes.

Dr. Kunal Shah
Oral Surgeon
We are more organized and informed when patients walk in for their appointments. Daily operations feel smoother, more predictable, and significantly more efficient.

Priya Nair
Front Office Coordinator
Everything You Need to Know
Clear answers to common questions about our technology, products, and approach
What is STOMA AI?
What products does STOMA AI offer for dental professionals?
What is STOMA AI?
What is STOMA AI?
Get in Touch
Any question or remarks? Let us know!
